Doctor image

Нуриддинов Мехриддин

Должность

Врач-стоматолог

Специальность

Ортопедия, Терапия

Ученая степень

Доктор 3-й категории

Стаж

6 лет

Высококвалифицированный терапевт, ортопед с 6-летним стажем.

Образование

Ташкентский Государственный Стоматологический Институт (ТГСИ).

Работы

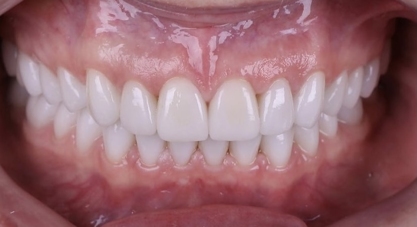
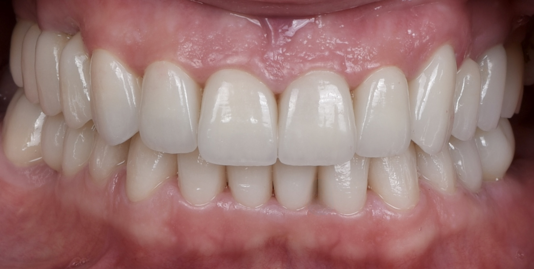
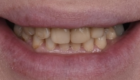
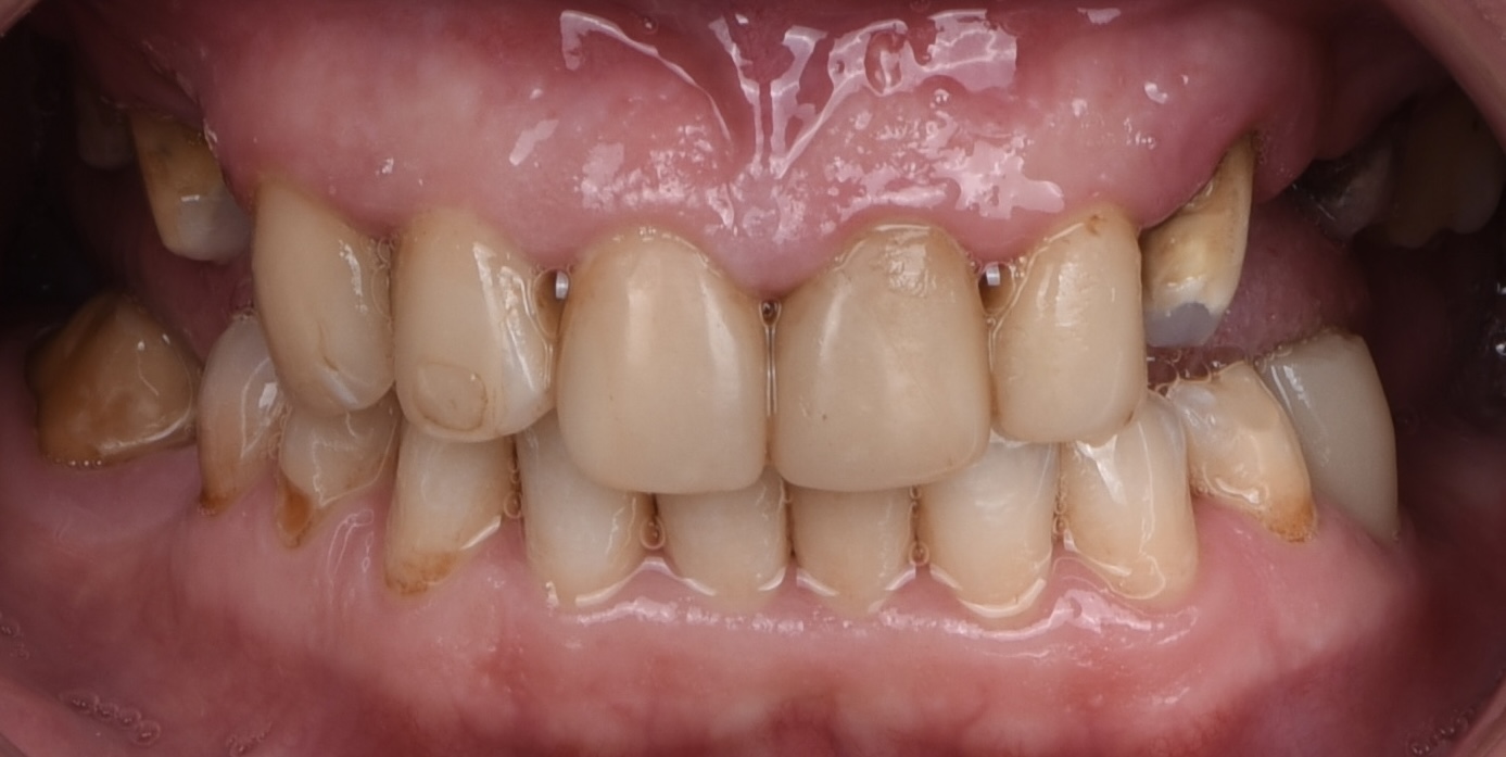
Отбеливание Отбеливание

Отбеливание

Отбеливание Отбеливание

Отбеливание

- -

-

- -

-