Doctor image

Асрорходжаев Саидмурод

Должность

Врач-стоматолог

Специальность

Ортопед-терапевт

Ученая степень

Магистр

Стаж

6 лет

Высококвалифицированный терапевт, ортопед с 6-летним стажем.

Образование

Ташкентский Государственный Стоматологический Институт 2014-2019г.
2019 - 2021 магистратура на кафедре хирургической стоматологий.

Работы

- -

-

- -

-

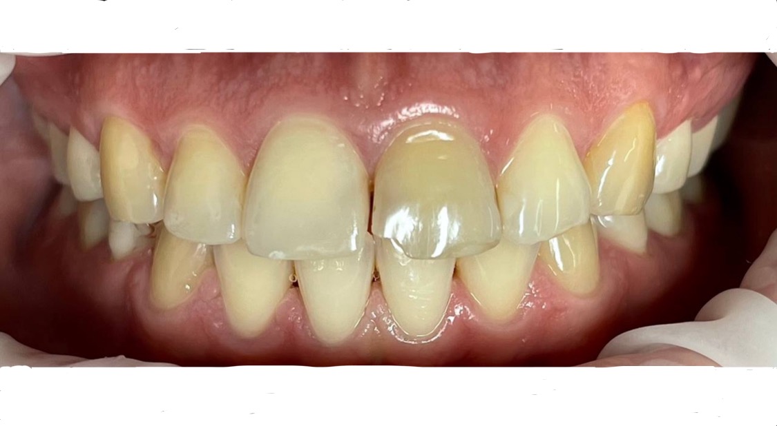
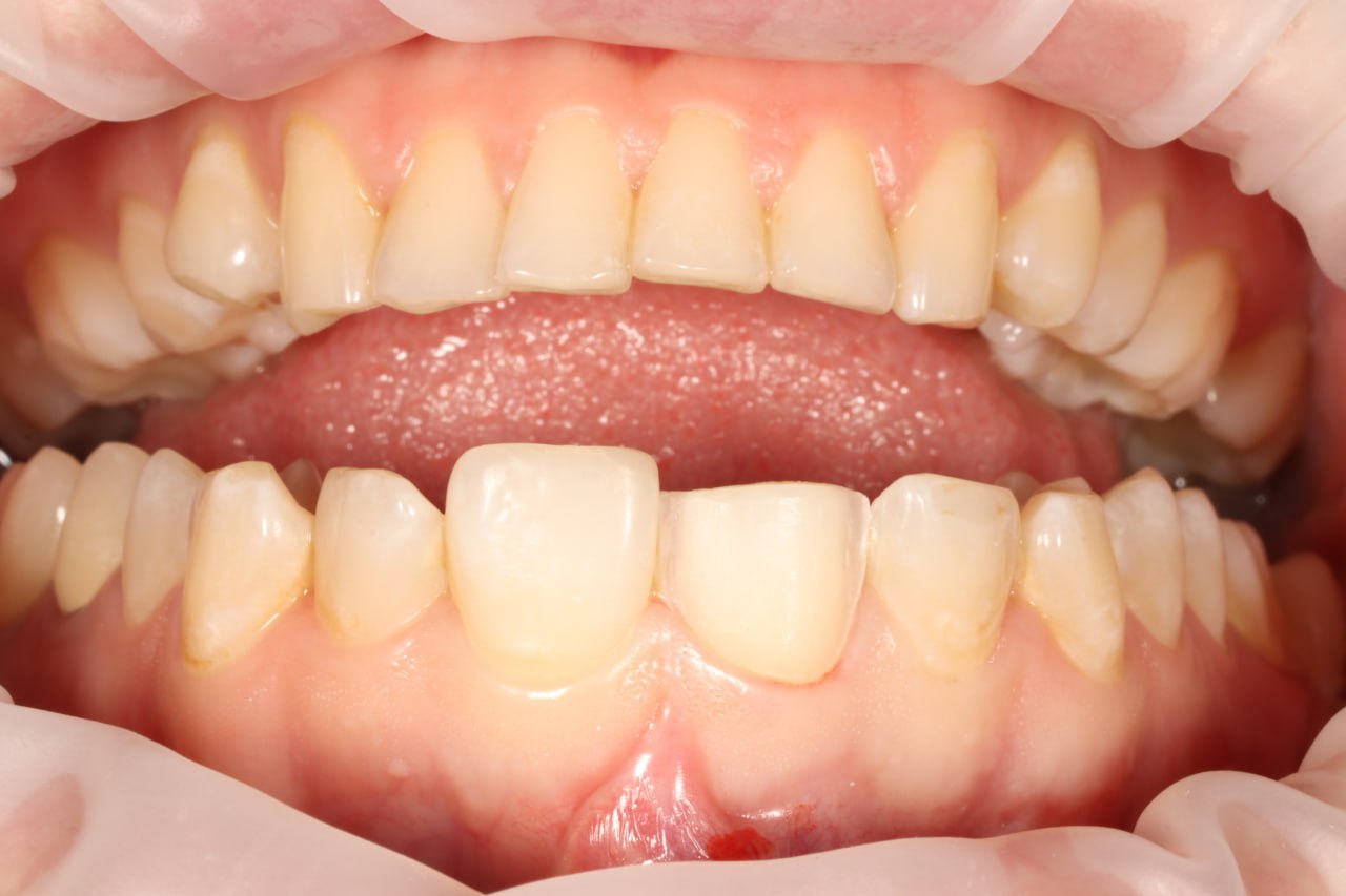
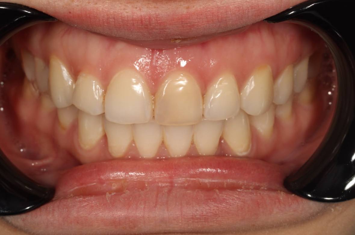
Отбеливание Отбеливание

Отбеливание

Отбеливание Отбеливание

Отбеливание

- -

-