Умаров Бахтиёр
Должность
Врач-стоматолог
Специальность
Ортопед
Ученая степень
-
Стаж
30 лет
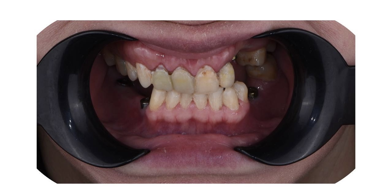
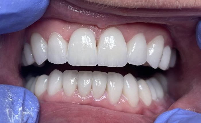
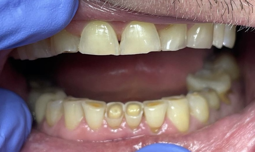
Высококвалифицированный ортопед с 30-летним стажем.
Образование
-
Работы
-
-
-